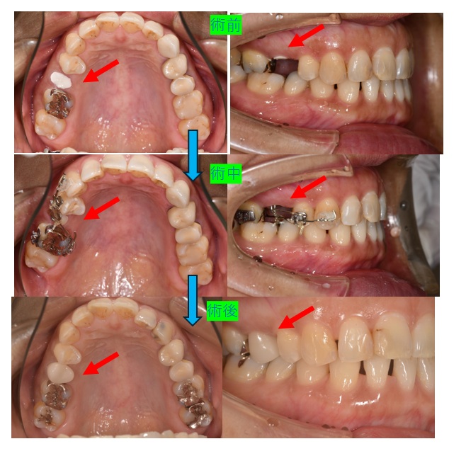
症例ー歯根破折して冠脱離したが、再度、冠作成して保存した
40代後半の方です。
前医で冠をいれてもらった部位が、食事中に脱離してきたと言われました。
痛みなく、冠脱離した部位は、根のみ残っておりました。完全な破折です。
根は残っております。

トラブル部位をレントゲンで診ると以下です。

通常は、保存できない状態です
歯槽骨より下に破折片の下縁があるためです。
この症例は、歯根の長さも十分にあるので、エクスルージョン方法を用いての保存治療を行いました。
エクスルージョン方法とは、以下のイラストように、根を引き上げて、通常の冠を入れられる状態に改善する方法です。

冠を装着するには、健全な歯が歯肉より、上に存在しないと、冠の脱離を起こすためです。
エクスルージョン方法は、根を引き上げた分に根が骨に接触している総面積は少なくなります。
根が長いと影響はないですが、短いと骨に根が付着している面積が少ないので、エクスルージョン方法を施行した後に
同様が収まらない状況になり、うまくいきません。
根が長く、歯槽骨に多く、接触している事は重要になります。

残っている根を引き上げるのに、ゴムの張力を利用します。
周期的に来院して頂き、ゴムの劣化の為に、ゴムの交換が必要です。
1週間に1回ペースで来院していただき、ゴムの交換を行います。

また、根が引き上げられると、上部のワイヤーに当たり始めます。その時は、再度、根のU字のバーの調整が必要です。

終了の目安は、健全な歯質が周囲の歯肉より、すべて出てきている状態です。

上記のように、新しい冠を入れて保存治療の終了です。
エクスルージョン方法で、破折した歯も保存可能性が高くなります。
大変良い方法です。
すべての破折歯が、エクスルージョン方法で保存可能ではありません。
根が十分に長く、歯槽骨から根を挺出して、冠を被せても咬合力に抵抗する状態で、歯が動揺していない事が必須条件です。
その点が大変、重要です。
そうでなければ、毎日の食事をされるので、歯の動揺が激しくなって、咬合痛が出現して、歯ぐきが腫れてきたりして、トラブルがでます。
この症例は、抜歯せずに保存できましたが、保存できない場合もあります。
正確な検査をして、保存処置の選択(保存できるか否か)が必須です。
正確な検査とは、視診、触診、レントゲン検査です。
まずは、視診です。視診とは、実際、目で診て確認する検査です。
お口の中を拝見させていただき、破折した部位が歯ぐきより上にあるのか否かの確認や、歯ぐきの腫れ、出血や排膿などの感染が無いか否か、を診てゆきます。
触診は、歯や歯ぐきに触れて、痛みや、腫れがないかを診ます。
レントゲン検査は、根の破折状態、根周囲の骨の状態や、破折した部位と歯槽骨の位置状態等を診ます。
明らかに、保存できる、明らかに保存できない等は、以上の検査ではっきりしている場合は良いです。
しかし、保存できる、できないを迷う場合には、
特に、感染している場合には、抗生剤を服用して頂き、消炎してから、再度、上記の検査を行います。
また、破折している部位が歯肉より、深い部位にあり、レントゲン上は、歯槽骨より上にある場合には、
破折している部位を直接、確認する事が一番と考えております。
局所麻酔を行い、破折して部位の周囲の歯肉を広げて、歯槽骨と歯の破折片断端を位置関係を確認して診る事が肝要かと思います。
最後に歯が破折しないようにする事が一番重要です。
そのためには、日々のメンテナンスで、虫歯等に感染しないように心がけると
虫歯に感染して神経を取ると、枯れ木ように脆くなり、歯の破折の一番の原因となります。
また、噛み合わせで、一部の歯のみに強い咬合力が係ると、その歯が破折してきたりします。
対応策としては、噛み合わせの調整が必要です。
歯ぎしりをよくする方も、猛烈に歯に力がかかるので、歯の破折の原因となります。
対応策として、マウスピースを夜間入れて頂く事が必要です。