症例ーインプラント難症例(上顎の奥歯)
60歳代の女性です。
妹さんから、姉が入れ歯が合わずに困っているとご紹介を受けました。
ご本人にお困りな点をお聞きすると、
入れ歯を左奥歯に以前入れたが、痛くて噛めないので、入れていないが、噛める右側ばかりで噛んで、顎が疲れる
入れ歯は、嫌なので、インプラントはできないのかとご相談を受けました。
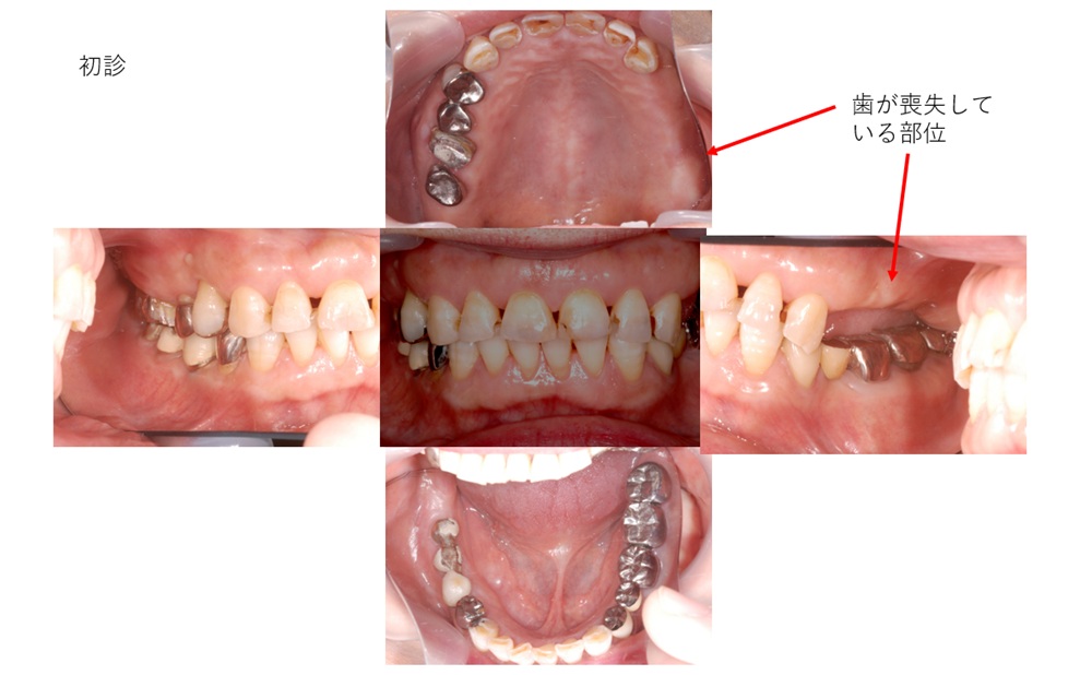
お口の中を拝見する。

写真のように、左上奥歯がありません。
歯が全体的に摩耗しております。
噛む力が強い?また、歯ぎしり、食いしばりもある可能性があります。
それが、原因で、歯が無くなったのではと推察されます。
初診時のレントゲンも診ると

左上の骨が幅が狭い状態です。上顎洞が下に降りており、インプラントは困難です。
なぜなら、インプラントを埋入するには、骨が十分にある事が必要です。
図解でさらに分かり易く説明します。

左上の図の黄色部位が上顎洞です。
上顎洞が大きく、上顎洞の下部にほどんと、骨が無い状態と歯が喪失している状態を示しました。
基本、インプラントは骨に埋入して、骨とインプラント本体が結合する事で、重要です。
ベースとなる骨が無い部位へのインプラントは、不可能です。
右上の図に示したように、上顎洞の直下に骨を造骨していく処置を行います。
これをサイナスリフト法と言う術式で行います。
サイナスリフト法は、上顎洞の粘膜を挙上して、そのスペースに補填材を入れて半年ほどすると新しい骨が造骨される処置です。
サイナスリフトを行ってから、6か月ほど置くと、左の上顎洞の直下に新しい骨が新生してきます。

上記の左の写真は、60歳代の女性の左上の上顎洞です。
上顎洞の粘膜を剥離している状態です。
上記の右の写真は、同じ女性の左上の上顎洞に骨補填剤を填入したところです。

上記の左側の写真は、上顎洞に骨補填剤を填入後に、メンブレンを入れる事により、新生の骨を出来やすくための物です。
術後6か月ほどすると左上の写真のように新しい骨ができております。

サージカルガイドとは、インプラントを適正な位置に埋入するためのガイドとなる物です。
今回は、3本のインプラントを左上奥歯に埋入予定です。
そのために、インプラント埋入予定の部位にガイドとなる穴が3つ写真のようにあります。
その穴に器材を入れて、目標の位置にインプラントを埋入できるようになっております。
このサージカルガイドは、事前に、レントゲン上で、インプラントをシュミレーション埋伏した状態を想定して作成します。
このようにガイドがあると、正確にインプラント埋入ができると考えております。

インプラント埋入を上記のように3本正確に埋入出来ました。

感染予防と止血のために左上の写真に示すように、縫合をして埋入処置は完了しました。

上記の写真のように、左上奥歯にインプラントを入れて、最終の冠をいれました。

左上に上顎洞直下にインプラントを埋入されているレントゲンです。

左奥歯にインプラントが埋入される事により、左右奥歯で噛めると、患者様は喜ばれておりました。
左右奥歯で噛める事により、片噛みとならず、口腔周囲の咀嚼筋に疲労感や顎関節への負担が軽減されて、快適な食事ができるようになっております。
| 治療内容 | 左上が無く、食事等が不自由なために、本人の希望のインプラントで、スムーズに食事したいという要望があり、アドバンスのインプラント処置を行った。 |
|---|---|
| 治療期間・回数 | 約1年・16回 |
| 治療費用 ※自由診療となります。 |
総額:1,080,000円-(税込/検査・診断・処置関連を含む) |
| 副作用、リスク | 処置中:違和感、腫れ、痛み等 処置後:感染による腫れ、痛み、インプラント本体もしくは、冠の脱離 |